Содержание
Рейтинг методов магнитно-резонансной томографии сосудов
Магнитно-резонансная томография (МРТ) сосудов представляет собой мощный диагностический инструмент, который позволяет получить детальные изображения кровеносной системы. Этот метод активно используется для выявления различных заболеваний и патологий, связанных с сосудами. В данном материале мы рассмотрим рейтинг методов МРТ сосудов, обсудим их преимущества и недостатки, а также вопросы, касающиеся мрт сосудов с контрастом цена, что немаловажно для людей, ожидающих медицинскую помощь.
Общая информация о магнитно-резонансной томографии жил
МРТ сосудов включает в себя несколько основных методов. К ним относятся МРТ с контрастированием, которое позволяет более детально визуализировать сосуды и выявлять возможные аномалии, а также безконтрастные методы, которые применяются в случае, когда использование контрастного вещества невозможно или нецелесообразно. Качественные изображения, полученные с помощью МРТ, помогают медицинским специалистам в диагностике заболеваний, таких как тромбы, атеросклероз, аневризмы и многие другие сосудистые патологии.
Методы МРТ сосудов
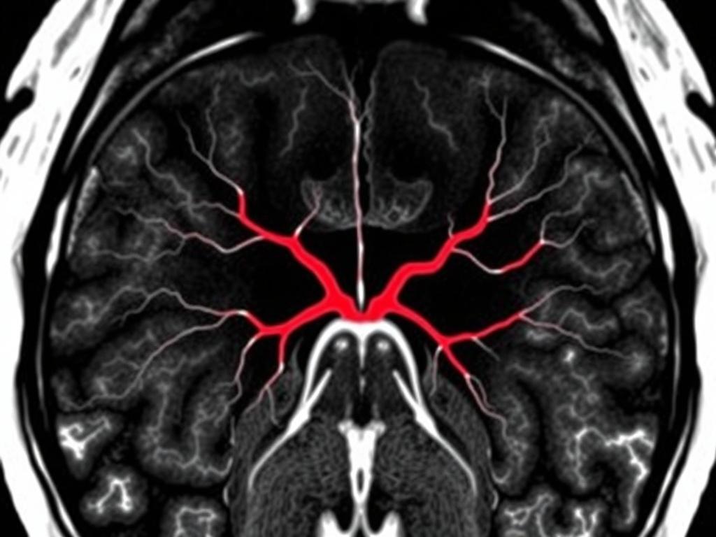
- МРТ сосудов с контрастом – этот метод является наиболее информативным и позволяет получить в высоком разрешении снимки артерий и вен. Контрастное вещество вводится в вену, что улучшает чёткость изображения. Особенно он полезен при исследовании сложных случаев с подозрением на окклюзии или аномалии крупной сосудистой системы.
- Безконтрастная МРТ – этот метод может быть использован для первичного обследования, однако его информативность ниже, особенно в случаях, когда требуется тщательная оценка состояния сосудов.
- МР-ангиография – продвинутый метод, который позволяет создавать картины сосудистой системы без инвазивных вмешательств. Обычно используется для изучения состояния артерий и вен в реальном времени.
Каждый из методов имеет свои особенности, преимущества и недостатки в зависимости от конкретной клинической ситуации. Наиболее целесообразным является выбор метода после консультации с квалифицированным специалистом.
Преимущества и недостатки методов МРТ сосудов
МРТ сосудов обладает сразу несколькими важными преимуществами. Это, в первую очередь, отсутствие ионизирующего излучения, что делает данный метод безопасным для пациентов. Кроме того, высокое разрешение изображений позволяет детально рассмотреть анатомические структуры. Нужно также упомянуть и про быстрое получение результатов, что немаловажно в экстренных ситуациях.
Однако существуют и определённые недостатки. Например, процедура МРТ с контрастом может оказаться недоступной для пациентов с аллергией на контрастные вещества или с почечной недостаточностью. Также не стоит забывать, что стоимость процедуры может варьироваться в зависимости от клиники и региона. Важно помнить, что мрт сосудов с контрастом цена может отличаться, и стоит заранее уточнить это в медицинском центре.
Выбор метода МРТ для диагностики сосудов
При выборе метода магнитно-резонансной томографии сосудов лечащий врач учитывает множество факторов. Это и возраст пациента, и наличие сопутствующих заболеваний, и предполагаемая патология. Опытный специалист сможет порекомендовать наиболее подходящий метод, основываясь на комплексной оценке состояния здоровья пациента.
Важно, что все методы диагностики должны быть направлены на максимально быстрое и точное выявление патологий. Поэтому рекомендации о выполнении МРТ сосудов должны идти только от квалифицированных медицинских работников, которые обладают достаточным опытом и знаниями в этой области.
Выбор подходящего метода МРТ сосудов поможет не только выявить имеющиеся заболевания, но и выбрать правильный путь к их лечению, что, в конечном итоге, обеспечит пациентам качественные и безопасные результаты диагностики. Если вы хотите узнать больше, подробности доступны по адресу https://eurodicenter.ru/uslugi/magnitno-rezonansnaya-tomografiya/magnitno-rezonansnaya-tomografiya-sosudov.

